Gestational cancer

skinIMG

Gestational cancer

Gestational-trophoblastic

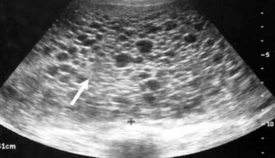
The gestational trophoblastic disorder is rare. Know the possibilities. Cells expand and surround the fertilized egg during normal pregnancy, attaching the egg to the wall of the uterus, and forming the placenta, which is responsible for feeding the fetus during pregnancy. Gestational trophoblastic disease (GTD) is a rare condition— which accounts for less than 1% of all gynecological cancers and occurs in about one out of every 1,000 in the US. If trophoblast cells shift and form a mass in the placenta, this disease occurs after birth, preventing the development of a healthy fetus. While GTD is not usually cancerous, some tumors may get cancerous and spread. GTD is treatable, especially if it is caught early.

For more information Click here

Gestational-trophoblastic

Treatment at Cure My Cancer

Lorem Ipsum is simply dummy text of the printing and typesetting industry. Lorem Ipsum has been the industry's standard dummy text ever since the 1500s, when an unknown printer took a galley of type and scrambled it to make a type specimen book. It has survived not only five centuries,